Soil Mycorrhizae fungi form mutually beneficial symbiotic relationships with the roots of 90% of all plant species. Mycorrhizal fungi live on, around or within plant roots in a symbiotic relationship. When such a fungus attaches to the plant, then it is known as mycorrhiza.
The fungi help the plant access additional mineral nutrients like nitrogen, phosphor, sulphur and micronutrients. The fungi in return benefit from carbon compounds it receives from the plant, basically carbohydrates or sugars. The word mycorrhiza comes from the Greek mykes = fungus and rhiza = root.
Some of our products that contain Mycorrhiza are TourTurf® MTB Mycorrhizae, Trichoderma and Bacteria Pack and TourTurf® MPT Mycorrhizae Plant & Turf Activator.
What are the different types of Mycorrhizae?
Mycorrhizae can be categorized according to how they interact with plants and their host plants. The categorisation is not always consistent, and names have changed over time:
After Marcel G. A. van der Heijden et al. (2015)
Ectomycorrhiza types which are mainly associated with woody tree species form mycelial growth that enlarges the area of nutrient and water uptake for their host plant, whilst the Vesicular Arbuscular mycorrhiza (VAM) (in symbiosis with many plant species) stimulate greater plant mass in the host plant, therefore able to reach more available nutrients in solution.

How does Mycorrhiza work?
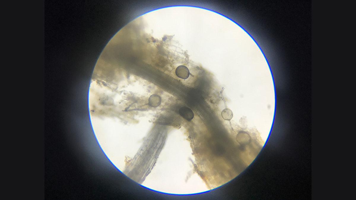
Mycorrhizal fungi produce thin, hair-like strands (hyphae) with a spike at each end. One tip goes into the roots of plants, while the other explores the surrounding soil. So even though the threads are extremely small, the mycelial network can extend over a huge area.
Schematic representation of host root colonized by Arbuscular mycorrhizal fungus.
The mycelium explores the soil around the root. Hyphea penetrate root epidermal cells, colonizing cortical cells, where they develop into branched arbuscules, the sites of nutrient exchanges between symbionts.
The mycorrhizal fungus itself is fan-shaped, with long filaments branching out into a network of ever-narrowing absorbent filaments (hyphae). At the end of each filament, there can be over 100 hyphal tips. The threads - or network - extend from the root system through the soil, and well beyond the zone occupied by the plant's roots and root hairs. The absorptive area of mycorrhizal threads is about ten times more efficient than the root hairs and about 100 times more efficient than the roots.
Benefits of Mycorrhiza
Including mycorrhiza in turfgrass management will result in the following benefits:
- Higher grass root growth rates
- Increased ability for the turf plant to absorb water
- Improved soil nutrient availability to the grass plant
- Greater nutrient uptake and use efficiency within plant
- Improved porosity and drainage of soil

Very likely, you will observe:
- Increased drought resistance
- Stronger plants with greater resistance against stress
- Better recovery from previous damage by root pathogenic fungi and parasitic nematodes
Soil carbon:
Mycorrhizal fungi play a key role in important cycles in our ecosystem. Glasshouse trials and field studies suggest that plants transfer 10 to 20% of their photosynthesis products to AM fungi.
For example, Glomalin is a protein-rich plant sugar that is a stable form of carbon in the soil.
What is Glomalin?
Glomalin is a hypothetical glycoprotein abundantly produced in the soil on hyphae and spores of arbuscular mycorrhizal (AM) fungi. The name comes from this group of fungi. Most AM fungi belong to the order Glomeromycota. It provides a protective coating for the hyphae of mycorrhizal fungi.
Glomalin is described as a glue-like sticky glycoprotein that glues sand, silt, clay and organic matter together, creating and stabilizing soil aggregates. This leads to the formation of humus, a jelly-like substance that gives the soil its dark colour and can hold 4–20 times its own weight in water.
These soil aggregates help reduce soil erosion. Glomalin is part of soil organic matter and can help retain carbon and nitrogen in the soil.
Humic substances dramatically improve the structure and porosity of the soil and contribute to a greater uptake of nutrients, which in turn leads to much better plant growth.
The tips of mycorrhizal fungi's hyphae (threads), in both plant roots and soil, allow both water and nutrients to spread from one end to the other along a moisture corridor. This means that in a dry soil, mycorrhizal fungi can still provide moisture (and also nutrients) to plants that are otherwise unavailable to the host plant's own roots. The threads do this by exploring the soil's micropores. But fungi can actually do even more because not only can they transport water, but they act as a bridge between micropores in dry soils with low water-holding capacity, such as dry sandy soils, thus improving hydraulic conductivity. Mycorrhizal fungi can further increase drought resistance by increasing the number and depth of plant roots.
Why you should use mycorrhizal fungi:
- Increased nutrient uptake through the symbiotic relationships of mycorrhizal fungi
- Improved water uptake, which is especially important during dry summers
- Stronger and healthier plants
- Improved soil structure as mycorrhizal fungi bind soil particles together
- Increased disease resistance
Haowei Wu, Huiling Cui, Chenxi Fu, Ran Li, Fengyuan Qi, Zhelun Liu, Guang Yang, Keqing Xiao, Min Qiao, Unveiling the crucial role of soil microorganisms in carbon cycling: A review, Science of The Total Environment, 10.1016/j.scitotenv.2023.168627, 909, (168627), (2024).
Marcel G. A. van der Heijden, Francis M. Martin, Marc-André Selosse, Ian R. Sanders, Mycorrhizal ecology and evolution: the past, the present, and the future (2015).
https://nph.onlinelibrary.wiley.com/doi/10.1111/nph.13288
Sources:
Garden journalist Kenn Römer-Bruhn (www.blomsterhaven.dk)
Deborah Cox (https://laganvalleyscientific.com/)
Marcel G. A. van der Heijden, Francis M. Martin, Marc-André Selosse, Ian R. Sanders, Mycorrhizal ecology and evolution: the past, the present, and the future (2015).

